Branch Retinal Artery Occlusion as the First Manifestation of Bartonella henselae Infection

Branch Retinal Artery Occlusion
Vol. 21 No. 1 : 2026 (535-541)

Thamarai Munirathinam Thamarai Munirathinam
Norlelawati Hj Abu Norlelawati Hj Abu
Azhany Yaakub Azhany Yaakub

Abstract
Bartonella henselae is a gram-negative rod bacterium that causes cat scratch disease (CSD) in humans, with the most common manifestation being Parinaud’s oculoglandular syndrome. A 37-year-old healthy man with an unremarkable ocular history presented with an acute painless scotoma over the superonasal visual field of the right eye (RE) for 1 week following a cat scratch two weeks before presentation. His visual acuity was 6/12 over the RE and 6/9 over the left eye (LE), with a normal anterior segment examination bilaterally. Fundus examination showed a retinitis patch occluding the right inferotemporal branch with a surrounding pale retina and isolated retinitis was seen superior to the left macula. Fundus fluorescein angiography of RE showed a non-filling defect along the inferotemporal artery branch with the absence of flow distal to the filling defect which signified an occlusion area. Parafoveal vasculitis changes were seen over the LE. Intraretinal fluid over the right macula was detected on optical coherence tomography. Laboratory testing revealed positive Bartonella henselae IgM with IgG titers greater than 1:512. The patient received oral azithromycin for 6 weeks and demonstrated good clinical response. Branch retinal artery occlusion is an uncommon presentation of CSD. Early diagnosis and prompt intervention are essential to restore visual function and prevent further complications.
Keywords : Artery occlusion; Bartonella henselae; retinitis,
Abstrak
Bartonella henselae ialah bakteria rod gram-negatif yang menyebabkan penyakit calar kucing (CSD) pada manusia, dengan manifestasi yang paling biasa ialah sindrom okuloglandular Parinaud. Seorang lelaki berumur 37 tahun yang tidak mempunyai sejarah masalah kesihatan atau mata mengalami skotoma akut tanpa rasa sakit pada penjuru nasal mata kanan selama 1 minggu selepas dicakar oleh kucing, 2 minggu sebelum mengalami kabur penglihatan. Ketajaman penglihatannya adalah 6/12 pada mata kanan (RE) dan 6/9 pada mata kiri (LE), dengan pemeriksaan segmen anterior yang normal secara dua hala. Pemeriksaan fundus menunjukkan tompok retinitis pada arteri cawangan inferotemporal mata kanan dengan retina yang pucat di sekelilingnya. Retinitis terpencil turut dilihat di kawasan superior makula kiri. Angiografi fundus fluorescein menunjukkan kebocoran dari tempat retinitis dan pengisian saluran darah yang abnormal pada arteri inferotemporal RE. Perubahan radang melibatkan saluran darah dilihat pada kawasan parafoveal LE. Cecair intraretinal di atas makula kanan dikesan melalui tomografi koheren optik. Ujian makmal menunjukkan IgM Bartonella henselae positif, dengan peningkatan titer IgG melebihi 1:512. Pesakit mempunyai tindak balas klinikal yang sangat baik dengan rawatan azithromycin secara oral selama 6 minggu. Oklusi arteri retina cabang yang disebabkan oleh penyakit CSD adalah sangat jarang ditemui. Diagnosis awal dan rawatan segera adalah penting untuk memulihkan fungsi visual dan mencegah komplikasi yang lain
Kata Kunci : Bartonella henselae; penyumbatan arteri; retinitis,

Correspondance Address
Azhany Yaakub. Department of Ophthalmology and Visual Sciences, School of Medical Sciences, Universiti Sains Malaysia, 16150 Kubang Kerian, Kelantan, Malaysia. Tel: +6019 9101993 Email: azhany@usm.my


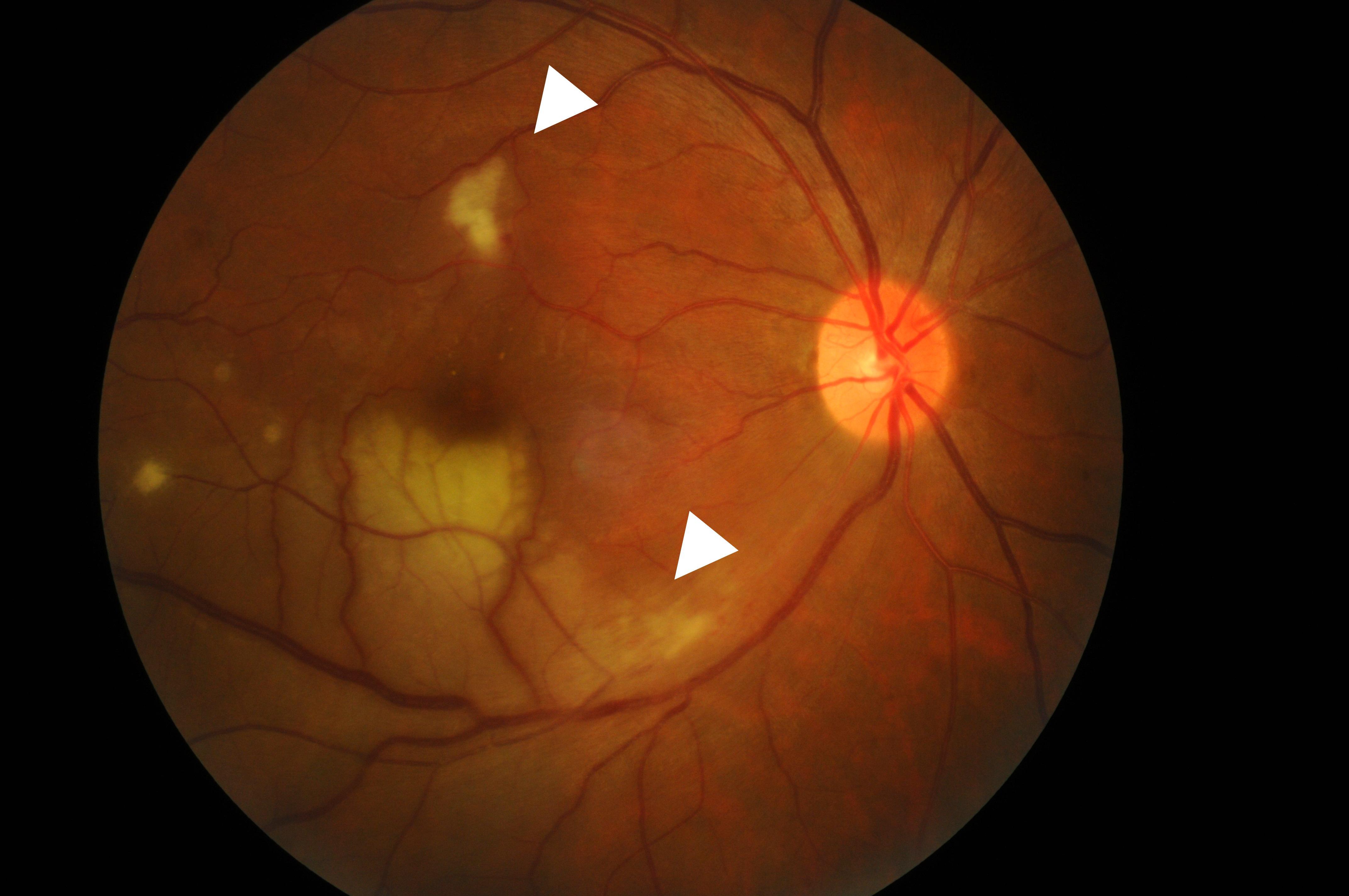
FIGURE 1: Colored fundus photograph of the right eye showed a BRAO involving the inferotemporal arcade (inferior arrow) with surrounding pallid retinal edema associated with an area of focal retinitis (superior arrow)