Homonymous Hemianopia Associated with COVID-19 Vaccination
Homonymous Hemianopia After COVID-19 Vaccination
Abstract
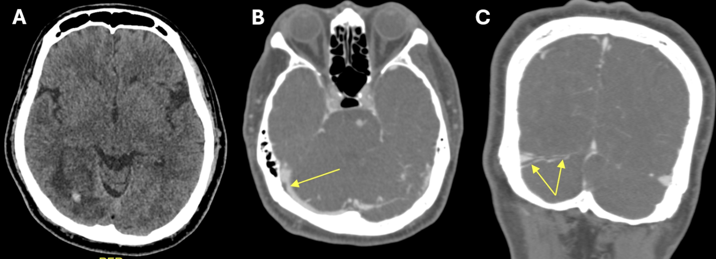
The current COVID-19 pandemic has prompted the development of vaccines to control the spread and severity of SARS-CoV-2. However, there are growing reports of different types of strokes, including ischemic and hemorrhagic strokes, as well as cerebral venous sinus thrombosis (CVST), following COVID-19 vaccination. We presented a case involving a 55-year-old male with a history of ischemic heart disease who exhibited an atypical presentation of visual field impairment one week following Sinovac-CoronaVac COVID-19 vaccination. The patient also experienced mild headache and vomiting for two days preceding the onset of visual symptoms. Right eye’s best-corrected visual acuity was 6/24, and left 6/15. A visual field confrontation test indicated left homonymous hemianopia. An urgent CT venography of the brain documented right transverse sinus thrombosis with occipital haemorrhagic infarct. A nasopharyngeal swab tested negative for SARS-CoV-2, and baseline blood investigations were within normal ranges. The patient was given one week of low-molecular-weight heparin, followed by a three-month course of oral anticoagulant. Post-treatment, there was marginal improvement, although a residual visual field defect persisted. In conclusion, while COVID-19 vaccination remains essential, clinicians must remain vigilant for rare adverse events like CVST and be prepared to manage these cases promptly to ensure patient safety.
Keywords :
Cerebral venous sinus thrombosis; COVID-19 vaccine; homonymous hemianopia,
Abstrak
Pandemik wabak COVID-19 telah membawa kepada penghasilan vaksin bagi mencegah penularan virus SARS-CoV-2 secara global. Walau bagaimanapun, pelbagai jenis kes strok termasuk strok iskemik dan hemoragik, serta trombosis sinus vena serebrum (CVST), telah dilaporkan meningkat selepas vaksinasi COVID-19. Kami membentangkan kes yang melibatkan seorang lelaki berusia 55 tahun dengan sejarah penyakit jantung iskemik yang menghadapi gangguan medan penglihatan seminggu selepas pemberian vaksin COVID-19 Sinovac-CoronaVac. Pesakit juga mengalami sakit kepala ringan dan muntah selama dua hari sebelum gejala penglihatan bermula. Ketajaman penglihatan terbaik yang diperbetulkan (BCVA) diukur pada 6/24 di mata kanan dan 6/15 di mata kiri. Ujian medan penglihatan menunjukkan hemianopia homonimus bahagian kiri. CT venografi bahagian otak menunjukkan trombosis di sinus ‘transverse’ bahagian kanan berserta strok hemoragik oksipital. Ujian swab nasofarinks adalah negatif SARS-CoV-2, dan ujian darah asas berada dalam julat normal. Pesakit dirawat dengan heparin berat molekul rendah selama seminggu, diikuti dengan rawatan antikoagulan oral selama tiga bulan. Pasca rawatan, terdapat penambahbaikan yang sedikit, walaupun gangguan pada medan penglihatan kekal. Kesimpulannya, walaupun vaksinasi COVID-19 adalah mustahak dalam mencegah penyakit ini, para perawat klinikal haruslah berwaspada dengan kesan sampingan COVID-19 yang jarang berlaku seperti trombosis sinus vena serebrum, serta bersedia dalam menanganinya dengan segera bagi menjamin keselamatan pesakit.
Kata Kunci :
Hemianopia homonimus; trombosis sinus vena serebrum; vaksin COVID-19,
Correspondance Address
Wan Hazabbah Wan Hitam. Department of Ophthalmology and Visual Sciences, School of Medical Sciences, Health Campus, Universiti Sains Malaysia, 16150 Kubang Kerian, Kelantan, Malaysia. Tel: +609 7676362 Email: hazabbah@usm.my