Return of Spontaneous Circulation in Traumatic Cardiac Arrest Achieved by Traumatic-Based Resuscitation –       A Case Report
              Traumatic Cardiac Arrest Resuscitation
              
        
      
      
           
        Abstract
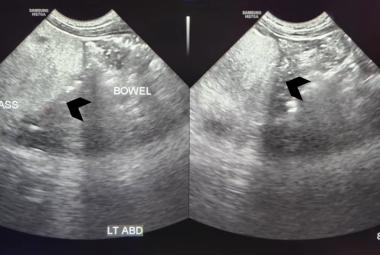
In recent years, the approach to traumatic cardiac arrest (TCA) has undergone a significant transformation, moving from what was once considered futile to a more promising and structured intervention. The European Resuscitation Council (ERC) Guidelines established a framework for the management of TCA. We presented a case of return of spontaneous circulation (ROSC) in traumatic cardiac arrest achieved by traumatic – based resuscitation adhered to this guideline. A 50-years-old man who fell from a height of 10 feet arrived at Emergency Department in cardiac arrest. Immediate cardiopulmonary resuscitation (CPR) was initiated. The patient was intubated using endotracheal intubation for airway management. Oxygen and ventilation were delivered through bag-valve-mask. Chest compressions were started, and warm intravenous fluid and blood transfusions were administered to address hypovolemia. Manual compression was applied to stop massive bleeding from the scalp and the left ear. ROSC was achieved following bilateral chest decompression. TCA algorithm had higher rate of ROSC as well as a trend towards improved survival to discharge. Practitioners should prioritise the rapid and aggressive treatment of potential reversible causes in TCA patients.
                 
          
          Keywords :  
         cardiac arrest,  
          
         cardiopulmonary resuscitation; trauma,  
           
         
           
       
        
             
        Abstrak
Dalam beberapa tahun kebelakangan ini, pendekatan terhadap henti jantung traumatik (TCA) telah mengalami transformasi yang ketara, bergerak daripada kaedah yang dahulu dianggap tidak berkesan kepada intervensi yang lebih menjanjikan dan berstruktur. Garis Panduan Majlis Resusitasi Eropah (ERC) telah mewujudkan satu rangka kerja untuk pengurusan TCA. Kami membentangkan kes pemulihan kitaran spontan (ROSC) dalam TCA yang dicapai melalui resusitasi berasaskan trauma mengikut garis panduan ini. Seorang lelaki berumur 50 tahun yang terjatuh dari ketinggian 10 kaki tiba di Jabatan Kecemasan dalam keadaan henti jantung. Resusitasi kardiopulmonari (CPR) segera dimulakan. Pesakit diintubasi menggunakan intubasi endotrakeal untuk pengurusan saluran pernafasan. Oksigen dan pengudaraan diberikan melalui 'bag-valve-mask'. Tekanan dada dimulakan dan bolus cecair intravena diberikan untuk menangani hipovolemia. Tekanan manual digunakan untuk menghentikan pendarahan besar dari kulit kepala dan telinga kiri. ROSC dicapai selepas dekompresi dada bilateral. Garis panduan ERC mempunyai kadar ROSC yang lebih tinggi serta kecenderungan ke arah peningkatan kelangsungan hidup sehingga keluar dari hospital. Pengamal perubatan harus memberi keutamaan kepada rawatan yang cepat dan agresif terhadap punca-punca yang boleh dipulihkan dalam pesakit TCA.
                 
          
          Kata Kunci :  
         Henti jantung; resusitasi kardiopulmonari; trauma,  
           
         
           
       
      
      
            
        Correspondance Address
 Winnie Wong Siaw Tin. Department of Emergency Medicine, Faculty of Medicine, Universiti Kebangsaan Malaysia, Jalan Yaacob Latif, Bandar Tun Razak, 56000 Cheras, Kuala Lumpur, Malaysia. Tel: +6016 5895125 Email: winniewongsiawtin@gmail.com